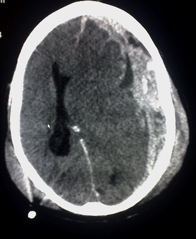
Interpret a CT head of an acutely unwell patient

You are the FY1 working in A&E.
Your consultant asks you to talk through the CT head which has just been completed.
Please answer all of the questions which he has for you.
Please complete the clerking proforma provided.
Station time: 5 minutes (2 minutes questions + 3 minutes clerking)


Convert your points into a realistic exam mark